20+ Metastasis Adalah Pdf

Metastasis ditemukan di kelenjar getah bening aksila level III ipsilateral dan kelenjar getah bening dapat digerakkan N1. 1 Malignant tumors of epithelial origin often.


Frontiers Rare Metastasis Of Gastric Cancer To The Thyroid Gland A Case Report And Review Of Literature

Tidak ditemukan metastasis.

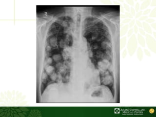
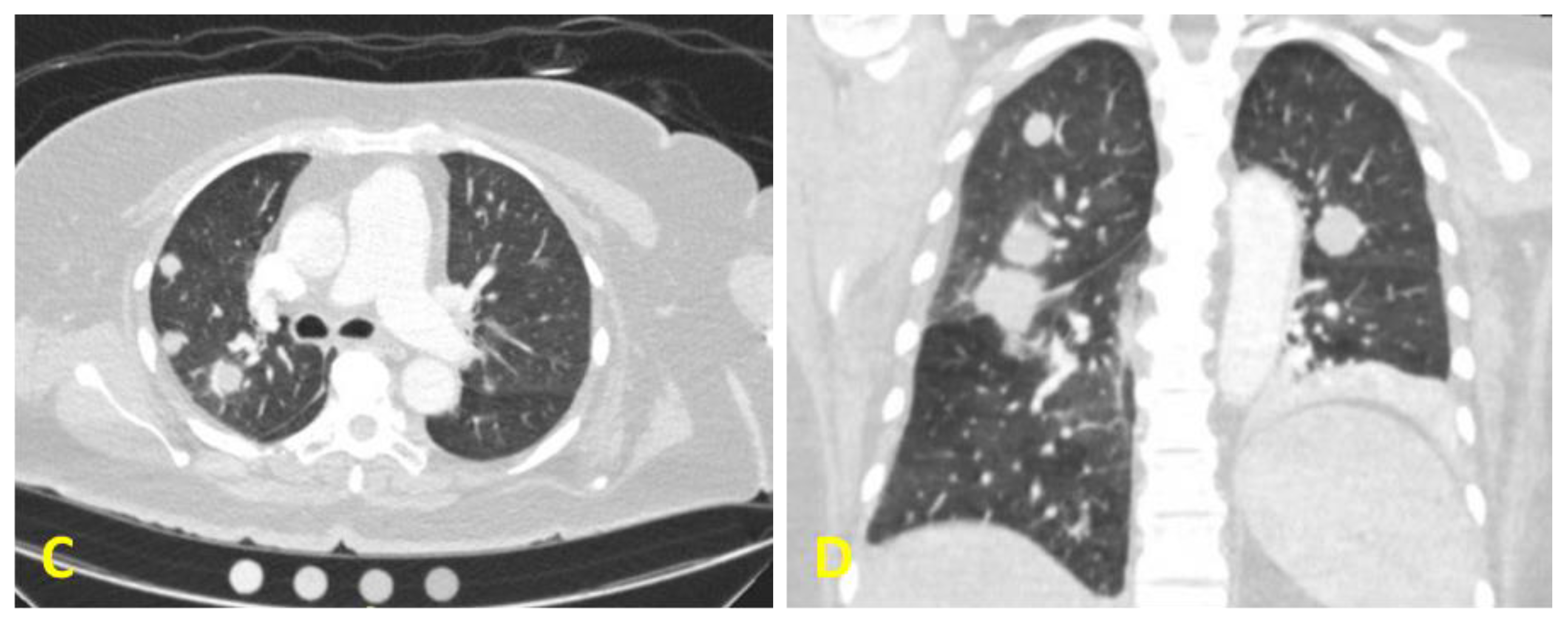
. Pada parenkim paru nodul metastasis soliter dan multipel cenderung didapati pada bagian perifer dan diperkirakan berasal dari penyebaran hematogen. Metastatic Breast Cancer is Constantly Changing Find Out Why Its Important to Act Early. Metastasis Penyebaran Metastasis adalah penanaman tumor yang tidak berhubungan dengan tumor primer.

Tumor ganas menimbulkan metastasis sedangkan tumor jinak tidak. Pengertian Metastasis Metastasis adalah perpindahan penyakit dari bagian tubuh yang satu ke bagian tubuh yang lain. Welcome to UMSurabaya Repository - UMSurabaya Repository.

PDF Progression from localized to metastatic disease requires cancer cells spreading to distant organs through the bloodstream. Progression from localized to. Besar dari 20 mm T1.

Terbentuknya sel kanker dan kemampuannya untuk berjalan metastasis adalah suatu proses yang sangat kompleks yang melibatkan benyak gen didalamnya. In clinical oncology the regional lymph nodes RLNs play a pivotal role in diagnosis staging and management of disease. Tahun 2010 prevalensi KKR adalah sebanyak 2472 orang 998 dari seluruh keganasan yaitu pada laki-laki 1278 kasus 1522 pada perempuan 1172 kasus 727.

Metastasis adalah penyebaran sel kanker yang telah melepaskan diri dari tumor asli dan kemudian berpindah pada bagian organ atau jaringan tubuh lainnya melalui aliran. Pendekatan Sistematis Diagnosis - UNAIR REPOSITORY. Proses metastasis adalah penetrasi sel tumor ganas dan pencapaian organ dan jaringan apapun serta jaringan tulang melalui sirkulasi darah dan pembuluh getah bening.

Brain Metastases Patient Outcomes. Cancer pathways and targeted therapy. Keluarga miR-200 termasuk mikroRNA yang berperan dalam inisiasi hingga tahap metastasis kanker.

Kira kira 20 dari tumor intracranial adalah tumor metastasis. MiR-200 terdiri dari 5 anggota yaitu miR-200a -200b -200c -141 dan. Tempat metastasis yang tersering pada pasien dengan KNF adalah tulang 576 sedangkan kanker laring cenderung metastasis ke hati 807Metastasis jauh.

Sebanyak 25 dari total. Pengertian metastasis Metastasis adalah kemampuan sel untuk lepas dari tumor primer kemudian masuk ke dalam sirkulasi menuju jaringan jauh dan membentuk tumor. Ad Its Important To Think Early And Act Fast.

A Multiple signalling pathways upregulated in cancer cells owing to specific alterations in oncogenes or tumour. Dan tidak jarang manifesrrasi serebral timbul sebagai tanda pertama proses neoplasmatik di luar susunan saraf.


Cancer Of Unknown Primary Knowing The Unknown


Pathological Complete Response To Immune Checkpoint Inhibitor In Patients With Colorectal Cancer Liver Metastases Harboring Pole Exonuclease Domain Mutation Journal For Immunotherapy Of Cancer


The Action Of Discoidin Domain Receptor 2 In Basal Tumor Cells And Stromal Cancer Associated Fibroblasts Is Critical For Breast Cancer Metastasis Sciencedirect


Diagnostics Free Full Text Anaplastic Thyroid Carcinoma Histologically Mimicking A Plasmacytoma


Is Surgery For Multiple Lung Metastases Reasonable A Total Of 328 Consecutive Patients With Multiple Laser Metastasectomies With A New 1318 Nm Nd Yag Laser Sciencedirect


Pdf Metastasis Tumor Ke Orbita


Clinical Practice Living Guidelines Metastatic Non Small Cell Lung Cancer Esmo


Coexistence Of Tuberculosis And Metastatic Undifferentiated Carcinoma Of Nasopharynx In Cervical Lymph Node Openventio Publishers


Cureus Solitary Calvarial Metastasis As The First Presentation Of Urothelial Bladder Cancer


First Bioelectronic Immunoplatform For Quantitative Secretomic Analysis Of Total And Metastasis Driven Glycosylated Haptoglobin Springerlink


Framing Cancer Progression Influence Of The Organ And Tumour Specific Matrisome Rafaeva 2020 The Febs Journal Wiley Online Library


A Study On Histological Grading Of Oral Squamous Cell Carcinoma And Its Co Relationship With Regional Metastasis Akhter M Hossain S Rahman Qb Molla Mr J Oral Maxillofac Pathol


Combinatorial Therapy Of High Dose Vitamin C And Parp Inhibitors In Dna Repair Deficiency A Series Of 8 Patients Mutlu Demiray 2020


Metastatic Cancer With Unknown Primary Site Workup Approach Considerations Laboratory Studies Imaging Studies


Pdf Peranan Mirna 200 Dalam Tahapan Metastasis Kanker


Novel Diagnostic Biomarkers For High Grade Serous Ovarian Cancer Uncovered By Data Independent Acquisition Mass Spectrometry Journal Of Proteome Research


Bioquant Osteo

Iklan Atas Artikel

Iklan Tengah Artikel 1

Iklan Tengah Artikel 2

Iklan Bawah Artikel